Viêm nha chu nặng làm mất răng
Chuyên gia Hiệp Hội Nha Khoa Hoa Kỳ cho hay: Viêm nha chu nặng làm mất răng là chuyện bình thường. Bệnh viêm nha chu còn có thể gây tổn...
Th6
Sâu răng là gì?
Tổng quan kiến thức về bệnh sâu răng Sâu răng là bệnh lý nha khoa thường gặp ở cả người lớn và trẻ nhỏ. Vì vậy, việc trau dồi kiến...
Th6
Răng khôn mọc lệch có nên nhổ không?
Răng khôn mọc lệch có nên nhổ không? Tại sao răng khôn lại bị mọc lệch? Răng khôn mọc lệch là tình trạng răng khôn mọc lên nhưng vì lý do...
Th6
Cấy ghép Implant có đau không?
Cấy ghép Implant có đau không? Những lý do cần phải cắm ghép implant là gì? Cấy ghép implant trở thành giải pháp phục hình răng miệng hiện đại, tiên tiến hiện nay,...
Th5
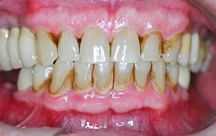
Lấy cao răng tại May’ s Dental Clinic
Lấy cao răng là gì? Lấy cao răng là quy trình làm sạch sâu trong nha khoa, giúp loại bỏ cao răng (khoáng chất cứng) đang bám vào răng. Bạn có thể cần phương...
Th4
Răng bị đen. Nguyên nhân vì sao?
Răng bị đen là gì? Các dấu hiệu thường gặp Răng bị đen là tình trạng toàn bộ hoặc một phần của răng nhiễm màu đen. Răng bị xỉn đen ảnh...
Th4
Những cách làm trắng răng tại nhà tự nhiên, hiệu quả và tiết kiệm
15+ cách làm trắng răng tại nhà tự nhiên, hiệu quả và tiết kiệm Răng xỉn màu có tẩy trắng được không? Nhiều người thắc mắc răng xỉn màu có...
Th4
Nha Khoa MAY’ S DENTAL CLINIC | Nha khoa: Uy tín- Tận Tâm- Chất Lượng
NHA KHOA UY TÍN – TẬN TÂM VÌ SỨC KHỎE RĂNG MIỆNG CỦA BẠN -Bạn đang lo lắng khi đến nha khoa vì sợ bị tư vấn những dịch vụ...
Th8
Nobel Active TiUltra – Trụ Implant vĩnh viễn “cổ vàng” tốt nhất thế giới
Chúng ta vẫn biết rằng, làm việc với một đoạn văn bản dễ đọc và rõ nghĩa dễ gây rối trí và cản trở việc tập trung vào yếu tố...
Th8
Những lưu ý khi niềng răng
Lorem Ipsum có ưu điểm hơn so với đoạn văn bản chỉ gồm nội dung kiểu "Nội dung, nội dung, nội dung" là nó khiến văn bản giống thật hơn,...
Th8
- 1
- 2
